Pesquisa da Uece com animais pode contribuir para preservação da fertilidade humana
3 de fevereiro de 2026 - 12:56 #fertilidade humana #preservação #Uece
Adriana Rodrigues - Ascom Uece - texto
Divulgação - fotos

Uma pesquisa desenvolvida na Universidade Estadual do Ceará (Uece) avança no campo da biotecnologia reprodutiva e pode trazer contribuições importantes para a preservação da fertilidade feminina humana, especialmente em pacientes que precisam se submeter a tratamentos tóxicos aos ovários, como a quimioterapia. O estudo utilizou ovários de ovelhas como modelo experimental e integra a tese de doutorado em Ciências Veterinárias da pesquisadora Lucy Vanessa Sulca Ñaupas, sob orientação da professora Ana Paula Ribeiro Rodrigues.
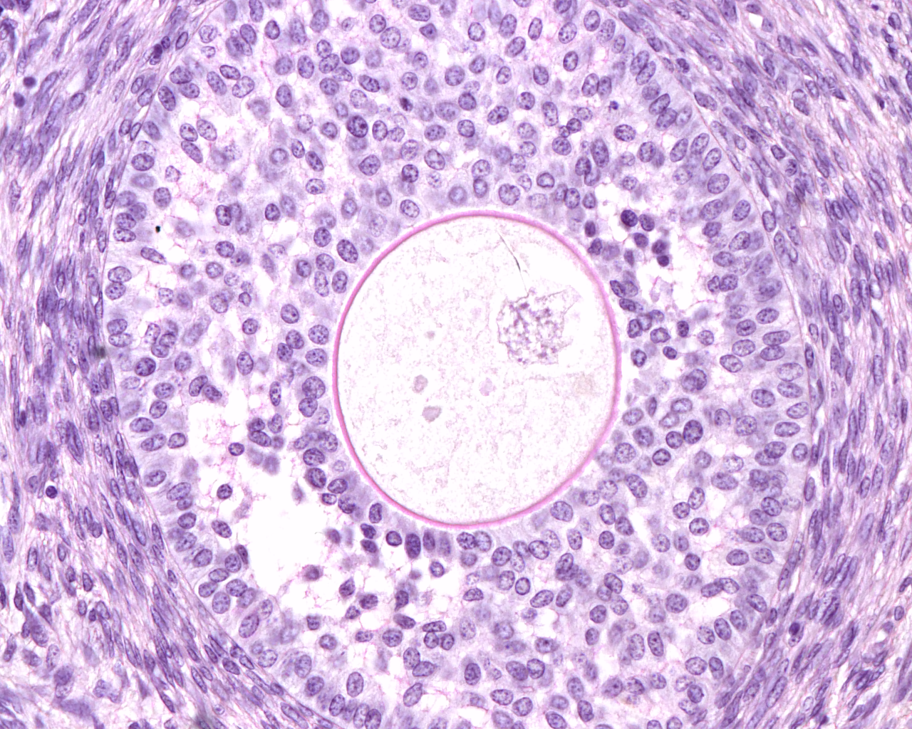
A investigação foi realizada no âmbito do Laboratório de Manipulação de Oócitos e Folículos Ovarianos Pré-antrais (LAMOFOPA), vinculado ao Programa de Pós-Graduação em Ciências Veterinárias (PPGCV) da Uece, e teve como foco aprimorar a técnica de criopreservação do ovário e sua posterior restauração funcional.
“A ideia desta pesquisa surgiu do interesse de aperfeiçoar a técnica da vitrificação (um tipo de congelamento ultrarrápido) do ovário, bem como o transplante e cultivo in vitro, explica Lucy Sulca. Segundo ela, este estudo, além de contribuir para conservação do material genético de animais superiores, se destaca por seu potencial translacional, ou seja, pela possibilidade de aplicação futura em ovários humanos, como já acontece em grandes centros na Europa e nos Estados Unidos.

A orientadora explica: “A criopreservação de ovários para uso posterior em laboratórios especializados em biotecnologias reprodutivas é de grande importância para a reprodução assistida. No caso de animais de produção como as ovelhas, esse material pode ser recuperado e mantido em baixíssimas temperaturas (196 graus negativos)) após a morte acidental ou inesperada de um animal geneticamente valioso. Esse ovário pode ser descongelado, transplantado para outra fêmea (ovariectomizada) que pode ser fecundada, resultando na gestação e obtenção de crias oriundas de fêmeas que já morreram. Em seres humanos, essa tecnologia pode ser aplicada para mulheres jovens, em fase reprodutiva que precisam de tratamento oncológicos que levam à infertilidade. Antes da quimioterapia, os ovários podem ser removidos, criopreservados e após a remissão da doença, a mulher pode receber o seu ovário de volta com a função de restauração da função ovariana, bem como da restauração da sua fertilidade”, esclareceu a professora Ana Paula.
Estudo inédito

O trabalho é considerado inédito por combinar, pela primeira vez, o uso do antioxidante ácido alfa-lipoico e o co-cultivo in vitro do ovário previamente vitrificado com células-tronco mesenquimais. “Aplicamos, de forma pioneira, o ácido alfa-lipoico na técnica de vitrificação do ovário e, posteriormente, avaliamos sua capacidade de recuperação após transplante e cultivo in vitro. Além disso, investigamos as propriedades das células-tronco derivadas da geleia de Wharton do cordão umbilical, com o objetivo de aperfeiçoar o cultivo in vitro de ovários vitrificados”, destaca Lucy.
Outro diferencial foi a escolha da ovelha da raça Morada Nova como modelo experimental, sendo ela nativa do Nordeste brasileiro, ela é considerada vulnerável, com risco de perda de variabilidade genética. Desta forma, esse estudo tem também o foco na conservação de raças de ovelhas que possam estar ameaçadas de extinção. “Além da importância para a conservação da biodiversidade, a espécie ovina apresenta semelhanças estruturais e funcionais com o ovário humano, o que amplia a relevância científica do estudo”, ressalta a pesquisadora.

Para esclarecer como a pesquisa funciona na prática, de forma simplificada, Lucy explica que os ovários das ovelhas são obtidos no local de coleta e levados ao laboratório, onde o córtex ovariano (região que contém os folículos ovarianos) é fragmentado e submetido à vitrificação, uma técnica que permite criopreservar o material por tempo indefinido dento containers contendo nitrogênio líquido. Posteriormente, os fragmentos de ovário são aquecidos e transplantados em outros animais ou cultivados in vitro em incubadoras, que simulam o ambiente interno do organismo.
“O objetivo é oferecer condições adequadas para que os folículos ovarianos, que abrigam os oócitos (futuros óvulos), se desenvolvam de forma saudável e possam, no futuro, ser fertilizados, possibilitando o nascimento de novos indivíduos”, explica a pesquisadora. Durante esse processo, são testados diferentes tratamentos, como a adição do ácido alfa-lipoico e o cultivo com células-tronco.
Resultados promissores

Os resultados do estudo demonstraram que a adição do antioxidante na solução de vitrificação do ovário é uma estratégia promissora para garantir a viabilidade dos folículos a longo prazo. O co-cultivo do ovário após a vitrificação com células-tronco também apresentou efeitos positivos para o desenvolvimento folicular.
“Esses avanços podem, no futuro, auxiliar na preservação da fertilidade feminina e na conservação do material genético de animais”, afirma Lucy Sulca. Segundo ela, os achados têm também relevância direta para mulheres e meninas que correm risco de perda da função ovariana, como pacientes oncológicas ou meninas pré-púberes que ainda não podem congelar óvulos.
Parcerias e continuidade da pesquisa
O estudo contou com parcerias nacionais, envolvendo pesquisadores da Universidade de São Paulo (USP) e da Universidade de Fortaleza (Unifor), além de colaborações internacionais. Parte do doutorado foi realizada no Instituto Nacional de Investigación y Tecnología Agraria y Alimentaria (INIA-CSIC), em Madri, na Espanha, com apoio de bolsa PDSE da Capes.
A pesquisa segue em desenvolvimento. Durante o pós-doutorado, Lucy deu continuidade aos estudos no LAMOFOPA, explorando novas estratégias para o cultivo in vitro de ovário vitrificado. “Atualmente, estou desenvolvendo novos estudos no INIA-CSIC, em Madri, na Espanha, mas continuo colaborando com pesquisas que utilizam células-tronco e avaliam novas abordagens para melhorar a restauração da função ovariana”, conclui.
A pesquisadora resume a importância do trabalho de forma direta: “Este estudo contribui para o aprimoramento das estratégias de preservação da fertilidade e do potencial reprodutivo feminino”.
Programa nota máxima pela Capes
O Programa pelo qual a pesquisa foi realizada, o PPGCV, recebeu nota máxima (7) na última Avaliação Quadrienal da Capes (2021–2024), tornando-se o primeiro Programa de Pós-Graduação (PPG) stricto sensu da Uece a atingir o mais alto patamar de excelência da Capes. Essa Avaliação Quadrienal avalia PPGS stricto sensu em todo o país. As notas variam de 3 a 7, sendo as notas 6 e 7 aplicadas aos PPGs que alcançam níveis de excelência, comparáveis a padrões internacionais de qualidade.
O PPGCV é parte integrante da Faculdade de Veterinária (Favet/Uece) desde 1990, possuindo, atualmente, uma área de concentração (Reprodução e Sanidade Animal) com duas linhas de pesquisa: Reprodução e sanidade de pequenos ruminantes; e Reprodução e sanidade de carnívoros, onívoros, herbívoros e aves.